提供技術(シーズ技術)
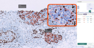
高精度病理解析とデジタルスライド統合プラットフォーム新着!!
2026-03-31
〇 企業名:シュパス(Spass) 〇 会社概要:人工知能医療ソリューション開発 <ホームページ>https://www.spass.ai/ 〇 製品概要及び特徴 <InnisVue> ✔ […]
ナノダイヤモンド×超音波による高効率洗浄ソリューション新着!!
2026-03-31
〇 企業名:株式会社ネオモンド 〇 会社概要:グローバルなナノカーボン研究開発企業として、ナノカーボンをベースとした帯電防止剤および微細素子研磨剤を開発しております。 <ホームページ>https://www.n […]
非接触型健康モニタリングソリューション新着!!
2026-03-27
〇 企業名:株式会社JCFテクノロジー 〇 会社概要: JCFテクノロジーは、単身世帯と高齢者が増える未来の時代のために、新しい概念の予防型ヘルスケアソリューションで市場を革新する企業です。着用や測定の煩わしさ […]
カーミング・クリーミーバブル・パッククレンザー
2026-03-25
〇 企業名:株式会社プランド 〇 会社概要: 化粧品および生活化学製品の開発 <ホームページ> http://pland-pure.com/en/ 〇 製品概要及び特徴 ・コンパクトサイズ(お試しキッ […]
ライススナック「コッセウ」、卵菓子「エッグロール」、ヌードルスナック「パサク」
2026-02-19
◯企業名:ハンマル ◯会社概要 <ホームページ>http://www.hanmaru.kr <事業内容>食品、菓子類、冷凍食品など製造販売 〇 製品概要及び特徴 - 商品名:焼きえびライススナック「コッセウ」(オリジナル […]





